Total Ankle replacement surgery (TAR)

In end stage arthritis the the ankle joint can be very painful, if this pain fails to respond to non surgical measures then surgery may be recommended.

Ankle replacement surgery is recommended for suitable patients only, not all patients with ankle arthritis are suitable for TAR. Ankle replacement technology has advanced and the outcomes for patients in the last 10 years have improved drastically.

Ankle replacement is not typically offered widely and subspecialist expertise is necessary to ensure an optimal outcome. Mr Talia has undergone local and international training with world leaders in ankle replacement surgery.

All patients undergoing ankle replacement surgery will undergo a specialised CT scan at the Avenue Hospital (Lumus Imaging) to allow patient specific pre-operative planning to take place - producing patient specific cutting guides that allow precise implantation of the ankle replacement.

The turnaround time after you have the scan (i.e, from CT scan to surgery) for this process is approximately 8 weeks.

In 2024 there were 766 ankle replacement surgeries in Australia. Compared with almost 60,000 hip replacements and 70,000 knee replacements. This demonstrates the narrower indications and specialist input required for these procedures [1].

[1]https://aoanjrr.sahmri.com/documents/d/guest/2025-ar-demo-ankle-supplementary-report-aoanjrr?download=false. AOA National Joint Replacement Registry 2025 Report - Ankle Replacement.

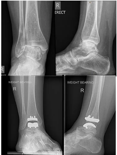
Figure 1: right ankle replacement for end stage osteoarthritis. Pre operative and post-operative Xrays (3 months) shown.

Figure 2: failure rates of Total ankle replacement before (blue) and after (green) modern prosthesis introduction [1]

Figure 3: 3 months post TAR. Demonstration of range of motion of ankle joint. This is thought to preserve patient function and protects the surrounding joints.

Success rates: more than 90% of patients are satisfied with their ankle replacement. Approximately 10% of patients require revision of their prosthesis after 10 years.

Post-operative plan:

  • Surgery is typically a 1-2 night hospital stay

  • a nerve block is administered to help with pain

  • 0-2 weeks: elevation at home, non weight bearing

  • 2-6 weeks: weight bearing in CAMboot

  • 6-10 weeks onwards: weaning out of boot and progressing to strengthening

  • 10 weeks onwards: wean out of CAMboot and progress to walking in normal shoes. Ongoing recovery up to 1 year after surgery

Ankle replacement patients are typically monitored annually with Xrays

Download post-operative care guide

NB: all ankle replacement patients at Melbourne Orthopaedic Group are involved in research for ongoing development and monitoring of clinical outcomes

Risks of surgery

  • Swelling, stiffness

  • Infection and wound breakdown

  • Wound healing problems

  • Blood clots

  • Scar sensitivity

  • Further procedures including re-do ankle replacement (revision)