Hindfoot Arthritis

The joints around the ankle joint are complex and can be affected by a number of conditions which affect the mechanics of the foot and can lead to arthritis of these joints. Inflammatory conditions such as rheumatoid arthritis can also cause these joints to become painful and worn out.

This can be associated with cavovarus (high arches) and planovalgus (flat feet) and occur with significant foot/ankle deformity.

Standing Xrays, CT scans (incl. Weight bearing CT in some cases) and /or MRI scans are necessary for confirmation of diagnosis and surgical planning.

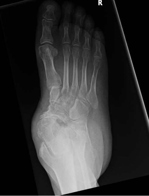
Figure 1: standing Xrays demonstrating significant hindfoot arthritis with severe flatfoot deformity

Treatment options:

Non operative treatment

  • Corrective, custom made orthotics

  • Modification of shoes to accommodate bony prominences

  • Oral anti-inflammatory medications 

Injections

  • Steroid injections done under ultrasound by a radiologist – this can provide diagnostic information as well as pain relief

  • Platelet rich plasma injections

Operative treatment is reserved for those patients with severe disease and symptoms

Surgeries performed for this condition include:

Back to conditions